医生,我早上到现在都没吃东西,不是说要空腹吗?为什么做这个检查还要喝水呀?
医生,我就吃了两个包子,应该没关系吧?
医生,我喝了一杯水够了吧,我赶时间,赶紧做了算了......
以上问题是在做上腹部CT检查之前,我们经常被问到的问题,下面我们就来好好的聊一聊:
为啥做上腹部CT检查前要空腹?
一是保证胆囊充盈,因为进食会使胆囊收缩,分泌胆汁,此时胆囊壁会变厚,从而不易区分病变部位;二是胃肠道里内存在积食也容易引起伪影从而影响图像诊断的准确性。
这张是未禁食的图像,可以看到红圈圈里到影像是模模糊糊,分不清哪里是胃壁,哪里是胃内容物,这种时候容易漏诊和误诊有关胃这方面的病变。 左:为饮水不足,右:为足量饮水
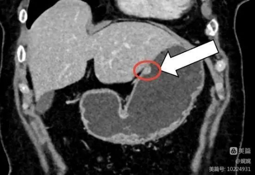
水作为一种阴性对比剂,大量喝水可以让胃肠道充分充盈,有利于胃及肠壁病灶的检出。前面蓝圈圈和黄圈圈出部分为“胃”,像一个气球样结构,可以看出黄圈圈中胃在“充分饮水”的情况下,才能把胃壁“撑开”成较薄的一层,如果胃壁有较小肿瘤或异常增厚,就可以很清楚的发现;而蓝圈圈里的胃饮水不足,胃壁不能充分“撑开”,显示胃壁皱缩较厚,不容易看清楚胃壁是否有病变,影响检查结果的准确性。
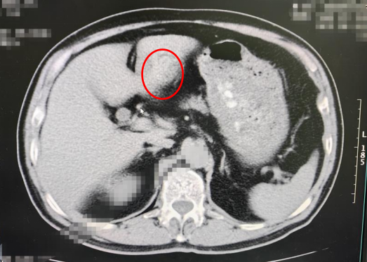
图上红圈圈里是在足量饮水时在胃壁上看到的小病变 到这里,是不是问题又来啦?既然喝不喝水对结果的影响这么大,那么到底要喝多少水才是足量饮水呢? 答案是500ml~1000ml,也就是我们平时看到的那种1~2瓶矿泉水的量。正常人饱腹状态时,胃容量能达到1200ml~1600ml,所以检查的时候要尽量把胃撑开,会更有助于影像诊断。 温馨小贴示:急性胰腺炎、肠梗阻等有饮水禁忌的患者,腹痛严重的急腹症患者,可以不用饮水,尽快检查,以免耽误治疗时机,加重病情!





