系统性红斑狼疮是一种可累及全身多个器官和组织的自身免疫病,以致病性自身抗体的产生、多种免疫复合物沉积为特点,患者的临床表现有较大的个体异质性。据文献报道,15%~60%的SLE患者有胃肠道受累表现,出现急性腹痛,恶心、呕吐、腹泻、便秘等症状,严重者可有消化道出血,甚至发展为肠坏死和肠穿孔等急腹症,包括肠系膜血管炎(LMV)、假性肠梗阻(IPO)、蛋白丢失性胃肠病(PLGE)、肝炎和胰腺炎。
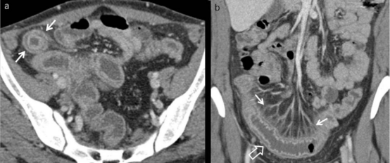
肠系膜血管炎:起病隐匿,多表现为间断发作的下腹痛,严重时出现恶心呕吐、腹泻、下消化道出血,甚至出现肠坏死、穿孔等急腹症,临床上常用的检查手段主要是腹部CT或核磁共振,主要表现为肠壁水肿增厚,呈“靶征”或“齿梳征”;
蛋白丢失性肠病:常表现为腹泻,同时伴有严重的水肿、低蛋白血症、尿蛋白较少或无;放射性核素标记的白蛋白经静脉输入后在肠道浓聚显影对诊断有重要价值; 假性肠梗阻:主要以肠梗阻的表现为主,可以出现腹胀腹痛、肠鸣音减弱或消失,腹部平片可见多个气液平面,常合并有肾盂积水,当同时出现有假性肠梗阻及肾盂输尿管积水时对诊断狼疮有颇有价值。
	




