在九江市风湿病医院风湿结缔组织病科,经过十余天的禁食及药物治疗,年轻的小范开心地说:“终于可以开始吃东西了!我已经上网买了好多好吃的。”
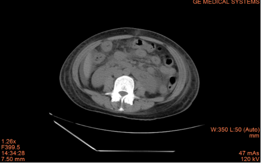
患者小范2月前因腹痛、呕吐在外科住院,诊断肠梗阻,予抗炎、通便治疗后症状好转出院,1月前再次出现反复腹痛、呕吐,CT平扫+增强提示肠壁水肿、增厚,呈“靶征”,胸腔、腹腔、盆腔大量积液。请风湿免疫结缔组织病科汤艳华主任会诊后,发现患者双手掌面多发痛性结节,完善相关免疫检查,发现抗核抗体阳性,dsDNA 阳性,补体下降,诊断系统性红斑狼疮、狼疮肠系膜血管炎转入风湿结缔组织病科。予大剂量激素冲击+免疫抑制剂+抗凝、抑酸等治疗后,症状完全缓解,并可以顺利进食。
治疗前:
治疗后:
急性腹痛是常见的临床症状之一,病因复杂多样,但其共同点是发病急、变化快和病情重,需快速准确的作出诊断。系统性红斑狼疮患者中约有50%可出现胃肠道受累,8%~40%SLE患者以急性或隐匿性腹痛作为首发症状就诊。胃肠道受累可以累及消化系统的任意部位,除了腹痛,还可表现为恶心、呕吐、腹泻、肠梗阻等。系统性红斑狼疮并发肠系膜血管炎病理改变包括肠壁水肿、充血或缺血、溃疡形成,甚至坏死、肠道穿孔。CT在疾病的早期即可出现:(1)肠壁水肿、增厚,呈“靶征”;(2)肠系膜血管增粗增多,排列成“梳状”或“栅栏样”表现。早期识别处理甚为重要,及早准确诊断并采取激素及免疫抑制治疗可以缓解症状,避免肠缺血、肠穿孔等并发症的发生,减少不必要的临床手术。
急诊腹痛患者,特别是女性患者,增强CT提示特征性改变时,应该警惕自身免疫性疾病导致肠系膜血管炎的可能。
	




