近日,市一医院经开区院区骨科为一骨性关节炎患者成功实施人工全膝关节置换术,解除了患者膝关节长达20余年的疼痛困扰。
今年69岁的余爷爷饱受膝关节疼痛之苦,多年来四处求医,接受各种保守治疗,至今跛行,且症状逐年加剧。最近他因左膝肿胀、内翻畸形再次来到我院就诊。经骨科医生团队严格评估,多次全科讨论,同时与他本人及家人细心交流,介绍治疗方案,最终决定为其实施左膝人工全膝关节置换手术。
在骨科医师与手术室医护人员密切配合下,历时1小时30分钟,手术获得圆满成功。术后患者恢复良好,无明显疼痛,术后第二天即开始膝关节功能锻炼,术后第三天即自主下地行走。真正做到了无痛(无痛苦)、无栓(无血栓)、无血(无输血)。
关节炎科普:
骨关节炎是中老年人群中最常见的关节疾病,60岁以上患病率高达50%,75岁以上患病率高达80%,致残率高达53%,,严重影响患者的生活质量和寿命。
膝骨关节炎主要临床表现:膝关节疼痛,酸胀多见,呈持续性,下蹲起身困难,如上下楼疼痛,不能行走;关节肿胀、畸形,功能障碍。X线片示胫骨平台、股骨髁骨质增生,髁间隆突变尖,关节间隙狭窄。
膝关节骨关节炎的治疗分四期,讲究阶梯性治疗:
第一阶段:保守治疗,主要是改变不良习惯和药物治疗。减轻体重,从而减轻膝关节承重负担,注意保暖。科学锻炼,防止过量或过激加重关节损伤。积极治疗骨质疏松,内分泌异常等疾病。
第二阶段治疗:即手术治疗,患者膝关节未达到软骨下骨磨损破坏的程度,则可选择胫骨上段截骨钢板内固定术(HTO)。
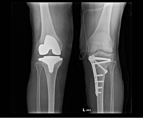
第三阶段治疗:如果患者膝关节病变集中在单侧,对侧关节里面软骨全层完整,膝关节内外侧副韧带及前后交叉韧带完好,则可行单髁置换术手术。 第四阶段治疗:膝关节内外侧关节软骨均损伤,比如类风湿性关节炎、强直性关节炎、膝关节的感染导致关节软骨破坏感染控制后等等,则需行全膝关节置换术。 (本图:左侧是截骨矫形内固定术后,右侧是全膝关节置换术后) 膝关节骨性关节炎阶梯治疗的有效路径及模式,可达到疾病有效治疗,保护有效劳动力,减少老年人因病致残生活不便引发的社会及家庭医疗负担。
	




