现代社会快节奏生活下,年度体检已成为健康管理的"必修课"。在众多检查项目中,胸部CT检查因其独特优势,正成为守护肺部健康的"火眼金睛"。数据显示,采用胸部CT进行早期筛查可使肺部疾病检出率提升40%以上,今天就让我们共同解读这项重要的影像检查。
■ DR与CT的影像之辨
相较于传统DR胸片的"平面快照",胸部CT通过断层扫描技术实现"三维透视",其密度分辨率提升10倍以上,能清晰呈现芝麻粒大小的微小结节。尤其对心影后区、纵隔等隐蔽区域,CT检查可避免组织重叠造成的"视觉盲区"。
■ 检查须知三原则
1.特殊人群需谨慎:孕妇及备孕人群建议采用B超等替代检查
2.金属物品全清除:包括项链、内衣钢圈、带金属装饰衣物等
3.呼吸配合是关键:检查前可进行3-5次深呼吸练习
■ 呼吸配合的科技密码
检查时"深吸气-屏息"的指令,实则是影像质量的"生命线":
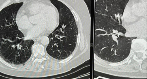
左图呼吸配合不佳,图像较右图模糊
✓ 肺叶如降落伞般完全展开,0.5mm以上病灶无所遁形
✓ 消除呼吸运动伪影,避免将膈肌波动误判为病变
✓ 精准定位扫描范围,减少重复照射可能
上图中虚线为定位线范围
■ 呼吸训练三步曲
3.稳定保持:屏息时双肩放松,避免耸肩导致的肌张力伪影
您的每一次认真配合,都是对生命最好的守护。九江市第一人民医院开发区分院放射科采用低剂量扫描技术,单次检查辐射量仅相当于乘坐2小时航班。精准影像始于规范,健康守护成于细节。让我们携手为生命把好每一道影像关!





