随着我国老龄化程度加深,老年骨折防治成为医疗界攻坚重点。我院骨科通过真实病例数据,揭示老年骨折诊疗新突破——近三年收治的多例老年骨折患者中,微创手术率达78%,术后3日下床率达65%,显著降低并发症风险。
■ 本院典型案例彰显技术实力
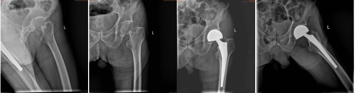
89岁吴某(本院病例)左股骨颈骨折后,骨科团队5天内完成人工关节置换术,术后3天实现助行器行走。针对老年患者谵妄高发问题,科室创新采用“家属协同镇痛管理”,使术后谵妄发生率较传统模式下降42%。
90岁单某(本院病例)L1椎体压缩性骨折案例中,团队运用5G远程会诊系统,联合内分泌科调整抗骨质疏松方案后实施椎体成形术,患者术后3日即恢复行走能力,骨密度值半年内提升12%。
71岁张某(本院病例)左股骨粗隆间骨折合并冠心病,经心内科、呼吸科、神经内科、麻醉科联合会诊,采用闭合复位微创技术完成PFNA内固定术,术中出血量控制在50ml以内,术后第2日即进行功能康复训练。
医院推出"防-治-康"一体化方案:建议65岁以上女性、70岁以上男性及50岁以上骨折患者应每年检测骨密度,建议居家进行防滑改造;确诊骨质疏松者需规范使用双膦酸盐类药物;术后患者则配备专属康复计划。统计显示,系统干预可使再骨折风险降低40%。





