在医院做超声检查时,不少人都有这样的疑问:“我明明付的是彩超的费用,为什么屏幕上显示的图像却是黑白的?这真的是彩超吗?”其实,这背后涉及的是两种不同的超声成像模式。今天,我们就来聊聊彩超与黑白超的区别。
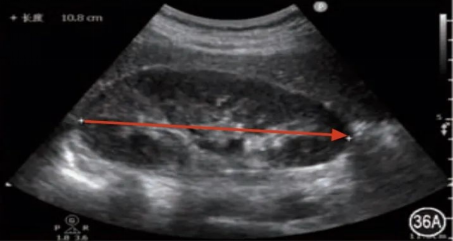
首先,我们来认识一下传统的“黑白超”。它的学名是“二维灰阶超声”,是超声成像中最基础的形式。黑白超通过向人体发射超声波,并接收从器官或组织反射回来的信号,再根据信号强弱,以不同深浅的黑白色调构成图像。这种图像虽然颜色单一,但能非常清晰地显示出脏器的轮廓、大小、形态以及内部结构,是医生评估器官是否健康的重要依据。
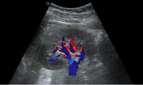
那么,彩超又是怎么回事呢?关键在于——“彩超”并不是我们日常理解的彩色照片那样的图像。它的“彩色”,其实是一种功能上的增强显示,主要用于观察血流情况。
彩超是在黑白超图像的基础上,叠加了“彩色多普勒”技术。这项技术利用超声波探测血液流动的方向和速度,并用红色和蓝色进行编码:通常,红色代表血流朝向探头方向流动,蓝色则代表血流远离探头。这样一来,医生就能直观地看到血管分布、血流是否通畅、有无异常狭窄或反流等情况。
需要特别注意的是,在彩超检查中,只有当医生启动血流检测模式时,屏幕上才会出现彩色的血管信号;而在观察器官结构时,图像仍以黑白色为主。所以,如果检查时大部分画面是黑白的,并不代表仪器“不是彩超”,而是因为当前正在评估的是组织结构,而非血流状态。
在用途上,黑白超主要用于观察器官的形态与结构,例如检查肝脏是否均匀、胆囊有无结石、胎儿发育是否正常等。而彩超中的彩色功能,则在评估血流方面发挥着重要作用——比如判断甲状腺结节的血供特征、诊断心脏瓣膜疾病、评估肿瘤的血液供应情况等,为医生提供更丰富的诊断依据。
实际检查过程中,彩超通常是“两步走”:医生会先用黑白超模式全面扫描,观察器官的形态结构;如发现需要评估血流的区域,再开启彩色多普勒模式,进一步分析血流信息。两者结合,既全面又精准。
简单来说,黑白超看“结构”,彩超中的彩色看“血流”。两者相辅相成,共同构成了现代超声诊断的核心内容。所以,下次当你看到屏幕上大部分是黑白图像时,不必担心——这正是彩超在认真工作的样子。





