近期,市一医院开发区分院骨科成功为多例特殊患者进行人工髋关节置换术,解除了患者长期卧床的困扰,让患者重新恢复行走活动,极大提高了患者的生活质量。

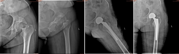
89岁的患者吴大爷,今年八月初,因在街上步行时不慎滑倒,至左髋疼痛剧烈,活动困难,左下肢不能站立负重行走,后左髋部逐渐肿胀。家属将他送至市一医院开发区分院骨科门诊,经检查诊断为股骨颈骨折,需进行人工髋关节置换,如不做手术,往后可能都需长期卧病在床,在取得家属同意,完善术前检查后, 8月11日在椎管内麻醉下为患者实施了“人工股骨头置换术”,术后恢复良好,第3天即可下地负重行走,患者及家属对治疗效果十分满意。

81岁的患者汪婆婆,因摔伤至左髋部疼痛活动障碍被家人送医院就诊,入院诊断为股骨颈骨折(左)且伴有糖尿病、高血压病3级(极高危)、心功能不全、低钾血症、陈旧性骨盆骨折、陈旧性肱骨骨折(右)、陈旧性尺骨骨折(右)、陈旧性桡骨骨折(右)、胆囊结石、阿尔茨海默病等病症。高龄老人,有三高,心脏功能不好,还患有老年痴呆,加上患者极度不配合给治疗带来了一定难度。经全科讨论及与患者家属沟通后,决定为患者行人工髋关置换术。10月18日在椎管内麻醉下顺利的完成了左侧人工股骨头置换术(半髋关节置换术),患者术后3天恢复行走活动。

53岁的罗女士,有既往烟雾病史,左侧肢体偏瘫后遗症跛行。8月30日在家中不慎摔倒,至左髋部疼痛、畸形、活动困难,左下肢不能负重站立行走,伤后左下肢逐渐肿胀,几天后因上述症状无缓解,于9月4日在市某医院就诊,诊断为左侧股骨颈骨折。为求手术治疗,9月6日转入市一医院开发区分院骨科,经医生诊断有股骨颈骨折(左侧)、烟雾病、左侧肢体偏瘫、尿路感染、肺部感染、左下肢深静脉血栓形成、脂肪肝、肝囊肿、双肾结石、胆囊结石、膀胱结石等病症。与家属沟通后,经骨科全体医生讨论制定手术方案,决定为患者行左侧半髋关节置换术,10月18日在手术室医生护士的配合下,顺利的完成了该项手术,术后4天可下地负重行走。专家提醒,当老年人髋部受伤、患肢不敢活动时一定要及时就医。

71岁的彭婆婆, 10月30日在家中上厕所时摔倒,左臀部先触地,当即感左髋疼痛剧烈,活动困难,不能站立行走。入院后诊断为股骨颈骨折(左侧、头下型),且伴有腰椎退行变、右小腿烫伤(二度)、脑溢血后遗症、高血压3级(极高危)、糖尿病、乙肝小三阳、脑梗、左侧偏瘫、肝囊肿、左肾囊肿、偶发室上性早搏、窦性心律不齐、双侧颈动脉斑块形成、双下肢动脉板块形成、阿尔茨海默病(老年型前期)。家属经过多次商量后决定行手术治疗,11月03日顺利完成半髋关节置换术,术后4天下地活动,解决了患者痛苦,极大提高了患者的生活质量。


市一医院开发区分院骨科拥有一支专业技术力量雄厚、人才梯队合理、管理科学严谨的团队。科室在市一医院胡斌主任的带领下,积极开展各种新技术、新项目,目前已经熟练开展各种复杂的髋、膝关节置换术,取得了良好的效果。
九江市第一人民医院开发区分院/朱挺平





