经常有患者问医生,既然超声检查出来了子宫肌瘤,为什么还要做磁共振呢?
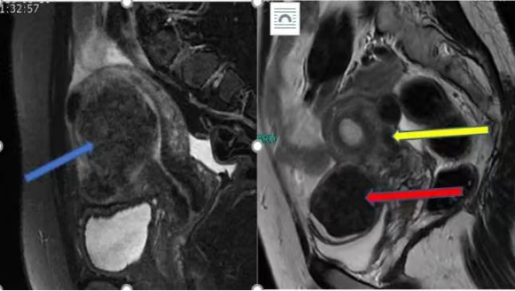
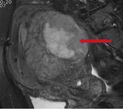
确实,过去我们检查子宫肌瘤,都选择价格便宜且快捷的超声。在确诊子宫肌瘤这方面占据了不可或缺的地位,对于一般没有症状的子宫肌瘤患者,超声检查仍然是首选的手段。 但是,对于有症状的子宫肌瘤患者,以及需要评估子宫肌瘤是否影响生育的患者,更推荐做磁共振检查。 磁共振检查可以获取整个盆腔的信息,可以从不同角度了解子宫及子宫肌瘤的情况。从而清楚的知道每个子宫肌瘤在什么位置上,是哪个肌瘤引起的临床症状,这个肌瘤如果继续长大,会不会对生育有影响等等问题。 磁共振检查能够辅助判断一个病灶是良性的还是恶性子宫肌瘤。 对于现在采用的一些微创手术如腹腔镜,在术前进行磁共振评估,能更好设计子宫上切口,从而最合适的切口进行子宫肌瘤的剔除。 左图蓝色箭头所示粘膜下肌瘤,右图红色箭头所示浆膜下肌瘤,黄色箭头所示肌壁间肌瘤,都能在磁共振上清楚的显示出来。 此图红色箭头所示为子宫肉瘤,磁共振清晰可见病灶范围,大小。 因此,对于子宫肌瘤治疗方式的选择,怀孕前评估子宫肌瘤对生育的影响,术前进行磁共振检查都是值得的。 九江市第一人民医院开发区分院/柯炜





